×

AI-Powered Brain
MRI Segmentation
& Volumetry Analysis

Schedule a Meeting

Why Alzevita?

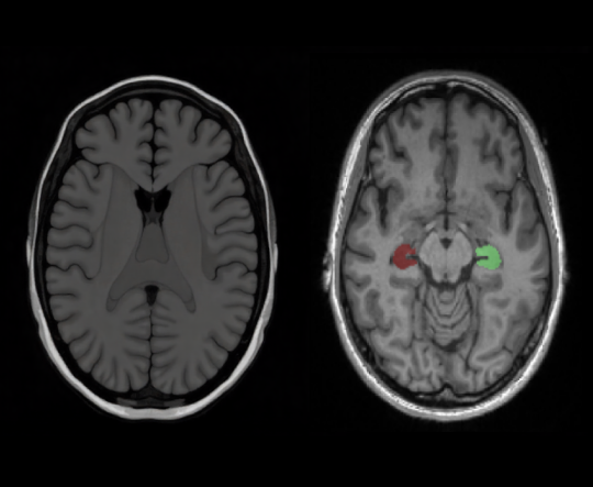
Alzevita is a cloud-based, AI-powered medical image processing software as a medical device intended to assist neurologists, radiologists and researchers with expertise in the analysis of 3D brain MRI scans. The software performs fully automated segmentation and volumetric quantification of the hippocampus, a brain structure involved in memory and commonly affected by neurodegenerative conditions.

Alzevita is designed to replace manual hippocampal segmentation workflows with a fast, reproducible, and standardized process. It provides quantitative measurements of hippocampal volume, enabling consistent outputs that can assist healthcare professionals in evaluating structural brain changes. The software supports image interpretation of MRI scans in both clinical and research setting.

Why Alzevita

How It Works?

Upload Icon

Upload

Load brain MRI scans in compatible formats.

segment Icon

Segment

AI automatically identifies and segments relevant brain regions.

Quantify Icon

Quantify

Volumetric measurements are computed and visualized.

Export Icon

Export

Generate standardized PDF report.

Who Uses Alzevita?

Neurologists

Leverage standardized volumetric data to support interpretation, reporting, and follow-up comparisons.

Radiologists

Minimize manual segmentation effort with AI-assisted automation, improving workflow efficiency.

Researchers

Access consistent, reproducible volumetric outputs for structural and longitudinal brain studies.

What We Offer?

AI-Based Segmentation

The software performs fully automated segmentation and volumetric quantification of the hippocampus, a brain structure involved in memory and commonly affected by neurodegenerative conditions.

AI-Based-Segmentation

Volumetric Analysis

It provides quantitative measurements of hippocampal volume, enabling consistent outputs that can assist healthcare professionals in evaluating structural brain changes.

Volumetric-analysis

Reproducibility

Alzevita is designed to replace manual hippocampal segmentation workflows with a fast, reproducible, and standardized process.

Reproducibility

Interoperable Formats

Supports industry-standard imaging formats including DICOM and NIfTI.

Interoperable-Formats

Founder’s Vision

Founder's Image

"Through the advancement of our platforms, we will build a fully integrated data economy. At Topia Medtech, we are passionate about improving health outcomes for people around the world."

Kamlesh Patel, CEO/Founder

Collaborating Partners